Planmeca CBCT Software Review: Romexis

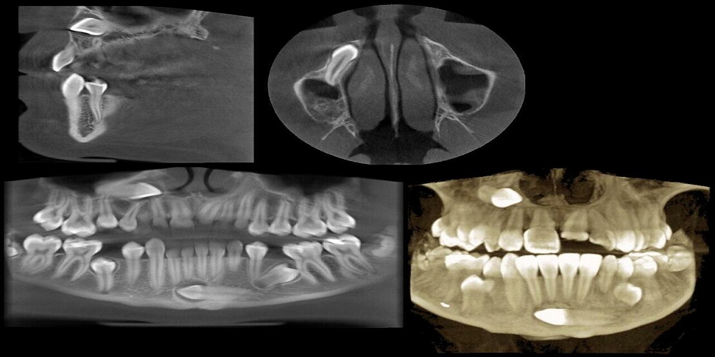
Romexis is the 2D/3D all-in-one dental imaging software from the world-renowned dental imaging equipment manufacturer, Planmeca. As a solution for managing large 3D imaging files, Planmeca Romexis is one of the most powerful dental software platforms available on the market today. It offers a rich selection of tools and features for all needs and specialties.

Romexis brings together all Planmeca equipment at a dental clinic, from CAD/CAM technology to imaging devices and dental units. Romexis 3D software can help you capture, store, access, manage and share dental cone beam images easily. The following features are only some of those that make Planmeca Romexis stand out from the competition.

Open and Compatible Architecture
Romexis features an open architecture that offers complete flexibility. The software’s easy export function also makes it possible to share and send high-quality images to colleagues, patients, and others. Romexis also makes it easy to import and export 2D and 3D images in industry-standard formats, such as JPEG, DICOM, or STL, or to launch data directly to 3rd party software. Practice management integration is also easy to accomplish with over 100 different compatible software systems.

Streamlined Workflow
Romexis has been specifically designed for the imaging needs of modern clinics of all sizes. Easy access to all 2D and 3D images gives you the ability to work with confidence and provide superior treatment. Planmeca Romexis optimizes the most common workflows in order to streamline everyday operations with as few clicks as possible. Its flexible workflow wizards make the software easy and simple to use from day one. Building on years of feedback, the newest version of Romexis introduces a cutting-edge interface that is simple and enjoyable to use.

Scalability
Romexis is highly scalable to your needs, whether yours is a single chair clinic or a large hospital or group practice. Start with what you need and add more users and optional modules later on. You can grow from 2D to 3D imaging with CAD/CAM and full implant planning functionalities. With over 100 updates over the past 12 years, Planmeca has a strong, proven record of continuously releasing new features and improvements that allow its users to work with the latest technology.

All-in-One Solutions
Romexis software is an all-in-one solution for your dental imaging needs, offering storage and management of numerous types of 2D and 3D imaging. The following is a sample of their available software models:

● 2D Cephalometry (ceph analysis, surgical planning, and treatment follow-ups in 2D).
● Smile Design (smile simulator, planning treatments, and communicating effectively).
● Dental PACS (uniquely allows both archiving and treatment planning in the same software).
● 3D Implantology (virtual implant planning, designing surgical guides).
● 3D Cephalometry (ceph analysis using CBCT images).
● CMF Surgery (preparing virtual surgical treatment plans).
● 4D Jaw Motion (tracking, visualizing, and analyzing jaw motion in 3D).
● Models (visualizing and analyzing digital impressions, streamlining direct scan and send workflow for intraoral scanners).
● 3D Orthodontics (orthodontic treatment planning in 3D).

Save 30-50% Off Planmeca CBCT Machines at Renew Digital
If you’re considering a Planmeca CBCT machine, first consider a conversation with an expert at Renew Digital. They offer many certified pre-owned Planmeca machines with Romexis 3D software included, and the purchase includes installation and warranty coverage, all at 30-50% off new prices. Contact them at 888-246-5611 to speak with one of their representatives and determine which system best meets the needs of your practice.

Business

Why Should You Partner with a Professional Squarespace Development Company?

In today’s digital-first world, a strong online presence is no longer optional—it’s essential for business growth. Whether you run a startup, a small business, or a large enterprise, having a well-designed and functional website can directly impact your visibility, customer engagement, and sales. While there are many website-building platforms available, Squarespace has become one of […]

Read More
Business

Minimalism in Fashion: The Signature Appeal of Calvin Klein Women’s Clothing

Minimalism is a philosophy that has a huge following in the domain of fashion designing. For so long, minimalism has been admired for valuing simplicity, clarity, and purpose. In fashion designing, this trend places a greater emphasis on aspects like clean lines, neutral palettes, and timeless silhouettes. The bottom line is to prioritize versatility over […]

Read More
Business

Load-Bearing Limits of Helical Screw Piles: What New Testing Standards Are Telling Us

Foundation stability depends on precision. Engineers and builders rely on accurate testing standards to ensure structural loads are properly supported, and recent advancements in testing methods are changing the game. New insights into the load-bearing capabilities of helical screw piles are reshaping how projects are planned, designed, and executed. Whether you’re working on residential, commercial, […]

Read More