Panoramic X-Ray Machines: Applications, Types & Cost

Over the past two decades, dental imaging has advanced and altered in both numerous and impressive ways. Prior to today, dental professionals had to circumnavigate the issue that there were only a few panoramic film X-ray brands to choose from when purchasing a panoramic X-ray machine for their business. Another common problem was that the products available were also greatly limited in their capabilities, applications, and even accuracies.

Today, digital dental X-ray equipment now can greatly assist dentists and other dental professionals diagnose their patients far more accurately and faster than before.

There is a more modern issue that dental professionals are presented with, however: a flooded market of panoramic dental X-ray equipment, all at widely ranging costs. More often than not, the options can be overwhelming, which then makes the process of purchasing far more difficult and infuriating.

Let’s take a closer look at panoramic X-ray machines along with their applications, models, and pricing options.

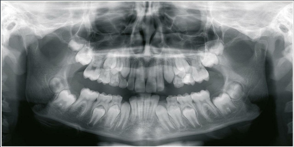
What Is a Dental Panoramic X-Ray Used For?
Dental imaging equipment is a necessity for almost all dental professionals. These machines assist in properly diagnosing and treating patients in a variety of ways. There are two common and modern dental imaging machines: panoramic X-ray and CBCT. Panoramic X-ray machines provide 2D images, while dental CBCT provide 3D images and most times 2D images, too.

Panoramic X-rays have several common applications, such as treatment planning for dentures, braces, extractions, and implants. General dentists can typically use a standard panoramic. Contrastingly, specialized applications (implants, orthodontics, and endodontics) sometimes require additional imaging capabilities, which could include a CBCT or cephalometric attachment.

What Types of Panoramic X-Rays Are Available?
There are several popular features to keep in mind when shopping for panoramic X-rays. Here are just three of them.

● Compact Units: The compact units are the most idyllic for dental professionals who are tighter on space as they are designed with a smaller footprint. If space is a concern, you may want to opt for a compact unit because you need to properly adhere to the space in which the machine will be placed, the room available for both patients and staff members to move around, and wheelchair accessibility.

● Extraoral Bitewings: Intraoral bitewings commonly cause patients to feel uncomfortable. That is why extraoral bitewings are such an attractive feature to offer your patients. They will feel far more at ease, as extraoral bitewings are significantly less invasive. Some examples of panoramic X-ray systems with extraoral bitewing capturing capabilities include Instrumentarium OP30 and Planmeca ProOne.

● Upgradeable Units: You may want to alter your dental practice’s offerings in the future, which is why your dental imaging equipment should be able to adapt if/when you do. If you choose to start placing dental implants, you’d require a 3D-upgradeable panoramic X-ray system. If you’d eventually like to add orthodontics or place clear aligners, then a cephalometric-upgradeable system would be right for you. The close consideration of what you envision for your practice in the future is necessary as is considering an upgradeable unit to align with your goals now and later.

How Much Does a Panoramic X-Ray Machine Cost?
It’s no secret that dental imaging equipment is a significant purchase. You want to ensure you’re making the best investment for you, your practice, and your patients. Panoramic X-ray systems range greatly in price due to various factors, such as the manufacturer, model, model year, inventory, and more.

Renew Digital is a leader in high-quality certified pre-owned dental imaging equipment. By investing in such equipment, you are able to save up to 50% off new list prices. Renew Digital’s five-star customer service team also matches you with the best features for your practice. Plus, every panoramic X-ray machine purchase comes with a comprehensive warranty so you can invest in the right dental X-ray machine for you with peace of mind. Give Renew Digital a call today at (888) 246-5611 or contact them online to speak with a knowledgeable representative.

Business

Why Annual HVAC Checkups Are Essential for Massachusetts Winters

Once summer comes and goes, homeowners throughout the Bay State face a familiar concern: will their heating system be ready for the harsh New England winter ahead? The answer to this question often determines whether you’ll enjoy a warm, comfortable home or face the stress and expense of emergency repairs during the coldest months of […]

Read More
Business Digital Marketing SEO

Why Choosing the Right PPC Management Company in India Can Transform Your Business

In today’s fast-paced digital world, businesses cannot afford to rely on organic marketing alone. Paid campaigns have become an essential part of every marketing strategy, and that is where a PPC management company in India plays a vital role. Pay-per-click advertising helps businesses reach their target audience faster, generate qualified leads, and boost overall sales. […]

Read More
Business

From Small Fixes to Big Projects: The Versatility of Handyman Services in Wallingford

Homeownership is something to feel proud and happy about. However, this title does not come without its own responsibilities. In order to see the home run smoothly, you can’t neglect routine maintenance tasks and small repairs on the move. For example, little issues like a dripping faucet, squeaky door, or broken light fixture can cause […]

Read More