Day: March 31, 2022

What Can You Do With Carbide Chamfer Mills?
There are several steps involved in machining parts in general. Giving your workpiece the desired shape and features might be the actual goal of machining it. But the finishing steps where small details are added, and rough edges are polished is what will ultimately guarantee a job well done. The most important tool involved in […]
Read More
6 Things You Didn’t Know Could Ruin Golf Shafts
For a golfer, the prospect of buying new golf shafts or reshafting old club heads can be exciting. Unfortunately, some golfers do this as a matter of necessity and not simply for an upgrade. Of course, this occurs all too frequently because otherwise perfectly good shafts fail before their time from abuse, misuse, and from […]
Read More
What Are the Main Differences Between the M1 and M1905 Bayonet?
One of the most infamous rifles in history is the M1 Garand, which Patton half-eloquently dubbed “the greatest battle implement ever devised.” High praise, perhaps not entirely deserved, but it is what it is. It follows, then, that attachments designed for this rifle are equally in high demand – items like M1 and M1905 bayonets. […]
Read More
What Is the Best Hair Styling Tool for Curly Hair?
When it comes to hair, every client is different. Everyone has their own combination of texture, density, porosity, volume, and other factors that go into creating their unique head of hair. Curly hair is known for having its own particular needs and will often require different products and tools to manage it. If you have […]
Read More
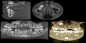
Planmeca CBCT Software Review: Romexis
Romexis is the 2D/3D all-in-one dental imaging software from the world-renowned dental imaging equipment manufacturer, Planmeca. As a solution for managing large 3D imaging files, Planmeca Romexis is one of the most powerful dental software platforms available on the market today. It offers a rich selection of tools and features for all needs and specialties. […]
Read More
Does A High End Gaming Computer Really Make A Difference?
This is a question that gets asked a lot among gamers. Does having a high-end gaming computer really affect the way we play our games? There are two schools of thought on this. There is the performance junky school. These are the people you see on Reddit constantly commenting on how they push their computers […]
Read More
The Best Kinky Curly Hair Products for Protective Styles
With curly, coily, or kinky hair, there are certain types of products that you can use to best keep your hair in great shape. As long as you keep up with a good hair care routine, you should be able to have a full head of healthy natural hair that looks great in any style […]
Read More
This Is the Leatherman Pocket Knife Everyone Needs to Carry
Leatherman is so universally respected that the brand has become used as a basic reference for all multi-tools, regardless of manufacturer. That’s a pretty big claim that few manufacturers boast – but Leatherman can. At any rate, the Leatherman Charge Plus is the Leatherman pocket knife that everyone should be carrying (or at least every […]
Read More
Should I Buy A MacBook In 2022?
With the upcoming 13-inch MacBook Pro right around the corner, many of us are getting ready to lunge at the next MacBook sale. The entry-level MacBook Pro was last improved in the last quarter of 2020, sporting the brand new M1 Apple chips. Interestingly enough, it came at the same time as the lauded MacBook […]
Read More
Why Are RAW Rolling Papers So Popular?
Rolling your own smoking products (namely, cigarettes) is a much older practice than you might have expected. At least 400 years ago, there was enough commercial demand for “rolling papers” that they were sold in sheets from which tobacco consumers could cut out sections to roll their own cigarettes. The practice hasn’t changed so much, […]
Read More